Learning Gel Molds
Gel Mold 1/28/19
Procedure
2g agarose and 100ml 1X TAE buffer were mixed to make a 2% agarose 100ml gel mix the mix was microwaved and swirled until there were no flakes then 5 microliters Gelgreen was added
the mix was left to cool for 5 minutes then poured into the gel mold the gel was left to harden for 30 minutes
once hardened enough Used TAE buffer was poured into the gel box to cover the mold
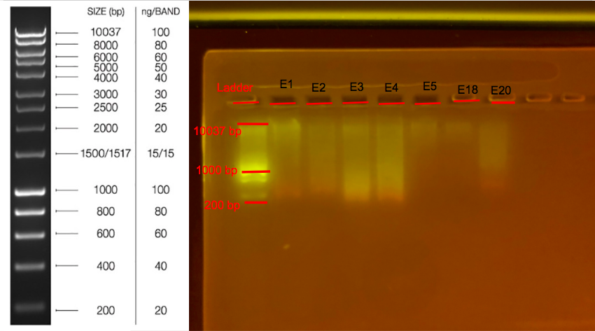
5 microliter aliquots of DNA samples E1, E2, E3, E4, E5, E18, and E20 were made 1 microliter of dye was added to each
First the Hyperladder 1kD ladder (200-1000 base pairs) was added to the first well of the mold then the DNA samples were each added to the wells in the following order
| ladder | E1 | E2 | E3 | E4 | E5 | E18 | E20 |
The voltage was set to 100V and run for 30 minutes
This is the resulting Gel
